みなさん、こんにちは。
京都オステオパシーセンターOQの大村颯太です。
今回は仙尾関節の解剖学的特徴、運動学的特徴、そして尾骨痛(coccydynia)について整理していきます。興味がある方は、是非ご覧になってみてください。
仙尾関節は、仙骨と尾骨をつなぐ小さな関節です。体の末端に位置し、普段あまり注目されることはありませんが、座位や骨盤底の安定性に深く関わっています。


1. 仙尾関節の解剖学的特徴
仙尾関節は、仙骨と尾骨の間に位置し、線維軟骨性の椎間板と両側の小関節から成ります。尾骨は3〜5個の椎体で構成され、癒合の程度には個体差があります。
-
関節:仙尾関節および尾骨間関節は、尾骨の前方屈曲を可能にし、特に座位での体重負荷時に動きが生じます。骨盤後傾位で座位姿勢を取られる方は尾骨への力学的ストレスが予測されます。

-
筋肉:尾骨の前面には肛門挙筋、腸骨尾骨筋、尾骨筋、恥骨尾骨筋が付着し、後面には大殿筋が付着します。これらは骨盤底や股関節運動と関連しています。そのため、腹圧、排泄機能、陰部神経痛などとの関連が考えられます。

また、仙骨と尾骨を繋ぐ仙尾筋も存在します。仙尾筋は胎児期にのみ見られますが、成人の骨盤壁に仙尾筋が残存している稀なケースもあるようです。

図1:骨盤底筋のクローズアップ図。仙尾骨腹筋(SC)は第3仙骨節(S3)から起始し、尾骨前部(Co)に停止している。肛門挙筋は、恥骨体(PUB)、肛門挙筋腱弓(TALA)、坐骨棘(IS)から起始しているのがわかる。L5 = 第5腰椎体;OI = 内閉鎖筋;ONV = 閉鎖神経と血管;S1、S2 = 第1仙骨節および第2仙骨節;SP = 仙骨神経叢。

-
靱帯:前仙尾骨靱帯・後仙尾骨靱帯が付着し、それぞれ前縦靱帯・後縦靱帯の延長線に位置します。さらに、仙結節靱帯や仙棘靱帯も尾骨に付着し、骨盤底の支持に寄与します。

-
神経:尾骨の神経支配は解剖学書でも詳細が少ない部分ですが、体性神経線維に加え、交感神経系の末端にあたる神経節(不対神経節)が存在するとされています。


2. 仙尾関節の運動学的特徴
尾骨は、仙骨や腰椎の位置変化に応じて微細な運動を行います。
-
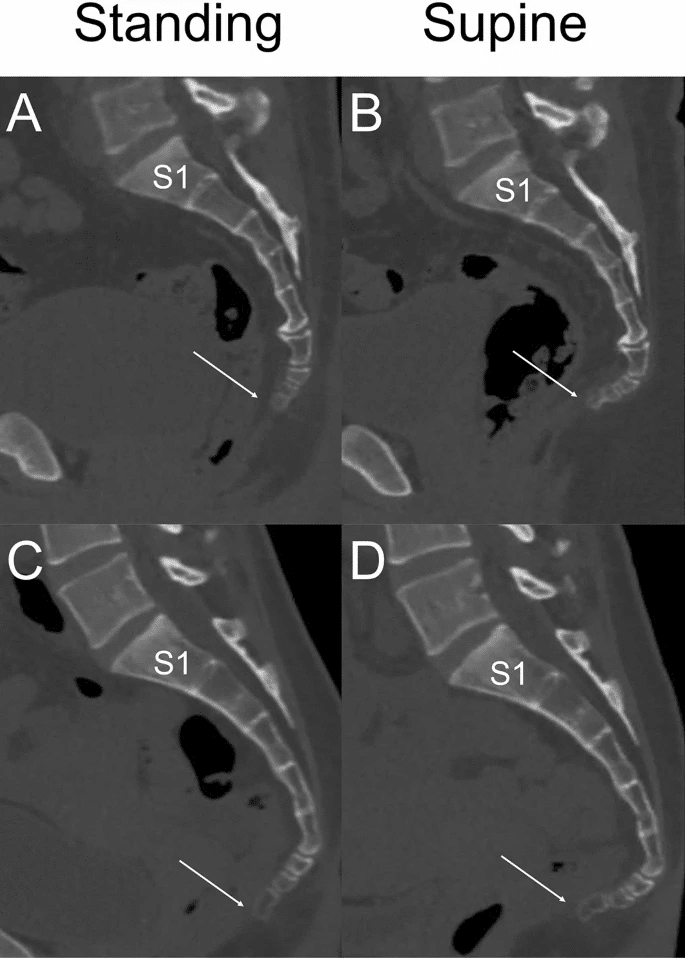
正常アライメント:仙尾骨角(立位/仰臥位、115.0 ± 10.6 mm/105.0 ± 12.5 mm)。尾骨の可動域は前後5〜20度とされます。

-
体位による変化:座位で体重がかかると尾骨は前屈し、立位では仙骨との角度が変化します。CT研究では、立位と仰臥位で仙尾骨角に有意な差があることが報告されています。

こちらの画像では仙尾関節の動きよりも尾椎間での運動量が大きいですね。
-
連動性:腰椎前弯や仙骨のニューテーション(前傾)に伴って、仙尾関節は屈曲方向に動きます。逆に仙骨カウンターニューテーションでは尾骨は伸展方向に動きます。このことから、腰椎や骨盤の位置関係で仙尾関節の状況は変わるので、全体の関連性から尾骨を見ていくことが大切だと感じました。組織の質感や可動範囲を確認しながら、アプローチの優先度を判断していく必要ありそうですね。

3. 尾骨痛について
尾骨痛(coccydynia)は、尾骨周囲に生じる痛みを指します。座位や立ち上がり動作、後方に体を傾ける姿勢で悪化することが多く、生活の質に大きな影響を与えることがあります。
-
疫学:尾骨骨折の約90%は保存療法で改善するとされています。外科的治療(尾骨切除)はまれです。ただし、尾骨部に症状がないだけで、尾骨周囲の力学的ストレスや癒着などが残存している可能性は高いです。将来的な頭痛や腰痛などの身体的不具合の発生が懸念されるので、症状に囚われず、尾骨の状態を確認しなければなりませんね。
-
原因:
-
外傷(転倒や打撲による骨折・脱臼)

-
出産に伴う尾骨の損傷(尾骨の後方変移・会陰切開後の癒着・促進剤の利用など)
-
長時間の座位や繰り返される微小外傷
-
感染や腫瘍(まれ)
-
特発性(原因不明)
-
下部消化管疾患や泌尿生殖器疾患による関連痛
また、尾骨の形態や可動性も尾骨痛に関与します。過度な屈曲・伸展、側方偏位、骨棘形成などがリスクとなることが報告されています。
尾骨は骨盤底筋群や靱帯が付着する部位であるため、これらの緊張や不均衡が尾骨痛を助長する可能性もあります。近年では、海外における経直腸的なオステオパシー手技療法の有効性も報告されています。

終わりに
仙尾関節は小さな関節ですが、骨盤底の支持、姿勢保持、座位での体重分散に大きな役割を果たしています。また、硬膜や自律神経の付着部位であるため、神経系の活動性にも影響を与えます。
尾骨痛は一見マイナーに思える症状ですが、日常生活に強い影響を及ぼすことがあります。また、尾骨の症状がなくても尻もちをした経験のある方や骨盤後傾で日常的に座っている方などは要チェックですね。
オステオパシー的なアプローチでは、仙尾関節や尾骨そのものだけでなく、周囲の靱帯・筋・神経・内臓とのつながりを考慮しながら治療を進めることが求められます。
今後も解剖学的・運動学的理解を深め、臨床に役立てていきたいと思いました。次回は、骨梁について整理していこうと思います。
#京都 #京都オステオパシーセンター #オステオパシー #整体 #痛み
#痺れ #麻痺 #姿勢 #尾骨痛 #仙尾関節 #尾骨
〜〜〜〜〜〜〜〜〜〜〜〜〜〜〜〜〜〜〜〜〜〜〜
京都オステオパシーセンター:OQ
〒604-8366 京都府京都市中京区七軒町466
最寄駅:阪急大宮駅 徒歩2分
京都 中京区 めまい、頭痛、産前産後、不妊、
マタニティ整体、呼吸器、子供の発達、
脳卒中後遺症 人工関節、
慢性的な痛み(肩こり・腰痛・変形性膝関節症
変形性股関節症など)
受け付け時間:9時~21時(完全予約制)
坂田:日・祝 休み
大村:土 休み
問い合わせ先
【坂田】
LINE: https://lin.ee/clbSLGg
電話:075-822-3003
【大村】
LINE: https://lin.ee/XnR5zpR
電話:080-3850-1264
〜〜〜〜〜〜〜〜〜〜〜〜〜〜〜〜〜〜〜〜〜〜〜





お電話ありがとうございます、
京都オステオパシーセンターOQでございます。